男子被一根筷子从耳部插入颅底 距动脉仅5毫米 医生成功救回
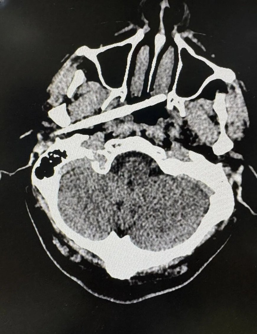
近日,南方医科大学珠江医院创伤中心成功救回了一名被筷子从耳部插入颅底的男子。据悉,筷子不仅穿透了耳部骨质,断端还残留在体内,筷子尖端距离颈内动脉仅5毫米,颈内动脉是大脑供血的主干线之一,一旦破裂,可导致瞬间大出血死亡,患者可能在短时间内死亡。
接诊后,创伤中心迅速启动严重创伤救治 “绿色通道”,召集耳鼻咽喉头颈外科、神经外科、影像诊断科、麻醉科专家进行多学科会诊(MDT),通过 CT 血管成像精准定位筷子位置及与血管的关系。
专家团队最终敲定“内镜+开放手术”联合方案,经过2小时紧张手术,医生成功将筷子完整取出,同时充分保护了邻近的重要血管和神经。
患者术后未发生感染、出血或神经功能损伤,目前已转入普通病房进行康复。
该院医生提醒,被尖锐异物插入头部极度危险,正确的做法是原位固定,避免移动、保持头部稳定,并前往有救治能力的医院,万万不可自行拔出!
筷子入头影像
你的反应是什么?
喜欢
0
不喜欢
0
喜爱
0
有趣
0
愤怒
0
悲伤
0
哇
0
